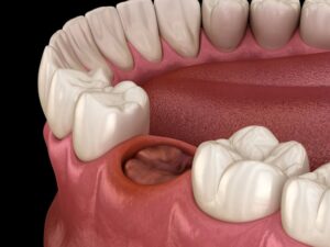
دانت نکلوانے کے بعد خالی ہونے والی جگہ (ساکٹ) پر لوتھڑا یا خون کا کلاٹ (blood clot) بن جاتا ہے۔ یہ زخم کو ڈھانپ کر اندر کی ہڈی اور اعصاب کو محفوظ رکھتا ہے۔ یہ زخم بھرنے والے خلیوں کو بنیاد بھی فراہم کرتا ہے۔ اگر یہ کلاٹ نہ ہو تو ہڈی اور اعصاب ننگے ہو جاتے ہیں جس سے شدید درد ہوتا ہے۔ تکلیف دہ کیفیت کلاٹ نہ بننے، اس کے اپنی جگہ سے ہٹ جانے یا زخم بھرنے سے پہلے ہی ختم ہو جانے کی وجہ سے پیدا ہوتی ہے۔ دانت نکلنے کے بعد ساکٹ خشک رہ جانے کی وجہ سے اسے ڈرائی ساکٹ (Dry Socket) کہا جاتا ہے۔
درد عموماً دانت نکلوانے کے ایک سے تین دن بعد شروع ہوتا ہے۔ یہ اکثر دانت کی جگہ سے شروع ہو کر چہرے کے ایک طرف تک پھیل جاتا ہے۔ متاثرہ جگہ میں جلن اور سوجن ہوتی ہے۔ اگر دانت کی خالی جگہ میں خوراک کے ذرات بھر جائیں تو تکلیف بڑھ جاتی ہے۔
یہ مسئلہ دانت نکلوانے کے بعد پیدا ہونے والی سب سے عام پیچیدگی ہے، خاص طور پر جب عقل داڑھ نکلوائی جائے۔ اکثر صورتوں میں بغیر نسخے کے پین کلرز یہ درد کنٹرول نہیں کر پاتے۔ اس لیے بہتر ہے کہ فوری طور پر ڈینٹل سرجن سے رابطہ کیا جائے۔
علامات
ڈرائی ساکٹ کی علامات یہ ہیں:
٭ دانت نکلوانے کے چند دن بعد شدید درد ہونا
٭ ساکٹ میں بلڈ کلاٹ جزوی یا مکمل طور پر ختم ہو جانا۔ اس سے ساکٹ خالی نظر آتی ہے
٭ ساکٹ میں ہڈی نظر آنا
٭ درد جو ساکٹ سے کان، آنکھ، کنپٹی یا گردن تک پھیلتا ہے، خاص طور پر اس طرف جس طرف سے دانت نکالا گیا ہو
٭ منہ سے ناخوشگوار بو آنا
٭ منہ کا ذائقہ خراب ہونا
ڈاکٹر سے کب رجوع کریں
دانت نکلوانے کے بعد کچھ درد ہونا معمول کی بات ہے۔ اسے کنٹرول کرنے کے لیے صرف وہ دوائیں لینی چاہیئیں جو ڈینٹسٹ نے تجویز کی ہوں۔ عام حالات میں درد وقت کے ساتھ کم ہو جاتا ہے۔ اگر نیا درد شروع ہو یا درد روز بروز بڑھتا چلا جائے تو بلا تاخیر ڈاکٹر سے رابطہ کریں۔
وجوہات
دانت نکوالنے کے بعد کلاٹ نہ بننے کی بنیادی وجہ ابھی واضح نہیں، تاہم محققین کے مطابق اس میں یہ عوامل کار فرما ہو سکتے ہیں:
٭ ساکٹ میں بیکٹیریا داخل ہو جانا
٭ دانت نکالنے میں مشکل کی وجہ سے اس جگہ پر چوٹ لگ جانا۔ ایسا اس صورت میں ہو جاتا ہے جب عقل داڑھ کی نشوونما یا پوزیشن معمول کے مطابق نہ ہو
خطرے کے عوامل

ڈرائی ساکٹ کا خطرہ بڑھانے والے عوامل یہ ہیں:
تمباکو نوشی
تمباکو میں موجود کیمیکلز زخم بھرنے میں رکاوٹ ڈال سکتے ہیں یا اسے سست کر سکتے ہیں۔ یہ کیمیکلز زخم کی جگہ میں داخل ہو سکتے ہیں۔ اس کے علاوہ، سگریٹ پینے سے کلاٹ وقت سے پہلے نکل سکتا ہے۔
مانع حمل گولیاں
برتھ کنٹرول گولیوں میں موجود ہارمون ایسٹروجن زخم بھرنے میں مسائل پیدا کر سکتے ہیں۔ اس سے ڈرائی ساکٹ کا خطرہ بڑھ سکتا ہے۔
دیکھ بھال میں کوتاہی
ڈاکٹر کی ہدایات پر عمل نہ کرنا اور منہ کی صفائی نہ کرنا بھی اس کا سبب بنتا ہے۔
دانت یا مسوڑھوں کا انفیکشن
دانت نکالنے کی جگہ کے ارد گرد موجودہ یا پرانا انفیکشن ڈرائی ساکٹ کا خطرہ بڑھاتا ہے۔
پیچیدگیاں
اگرچہ ڈرائی ساکٹ تکلیف دہ ہوتا ہے، لیکن یہ شاذ و نادر ہی کسی سنگین پیچیدگی کا سبب بنتا ہے۔ تاہم، ساکٹ میں زخم بھرنے کا عمل تاخیر کا شکار ہو سکتا ہے۔ دانت نکلوانے کے بعد درد معمول سے زیادہ دیر تک رہ سکتا ہے۔ اس کے اندر انفیکشن بھی ہو سکتا ہے۔
احتیاطی تدابیر
سرجری سے قبل کرنے کے کام
٭ ایسے ڈینٹسٹ کا انتخاب کریں جو دانت نکالنے میں ماہر ہو
٭ دانتوں کی اچھی طرح سے دیکھ بھال کریں۔ دن میں دو بار برش اور ایک بار فلاس ضرور کریں۔ منہ کی اچھی طرح سے صفائی بیکٹیریا کو ختم کرتی ہے
٭ دانت نکلوانے کے بعد پہلے دن تمباکو نوشی چھوڑ دیں۔ اگر اس میں مشکل ہو تو کسی ڈاکٹر یا ہیلتھ کیئر پروفیشنل کی مدد حاصل کریں
٭ کچھ ادویات خون جمنے میں مسائل پیدا کر سکتی ہیں۔ اس لیے ڈینٹسٹ کو ان تمام نسخے اور بغیر نسخے کی دواؤں، ہربل میڈیسنز یا سپلیمنٹس کے بارے میں بتائیں جو آپ لے رہے ہیں
ڈینٹسٹ کے ممکنہ اقدامات
ڈاکٹر یہ اقدامات یا ادویات تجویز کر سکتا ہے:
٭ سرجری کے بعد زخم پر لگانے کے لیے دوا لگی ڈریسنگ
٭ سرجری سے پہلے اور بعد میں اینٹی بیکٹیریل ماؤتھ واش یا جیل
٭ زخم پر لگانے کے لیے اینٹی سیپٹک محلول
٭ منہ کے ذریعے لی جانے والی اینٹی بائیوٹکس (عموماً جب آپ کا مدافعتی نظام کمزور ہو)
سرجری کے بعد کرنے کے کام
دانت نکلوانے کے بعد مناسب دیکھ بھال زخم کو جلد بھرنے اور اسے نقصان سے بچانے میں مدد دیتی ہے۔ اس سلسلے میں یہ کام فائدہ مند ہو سکتے ہیں:
سرگرمیاں
٭ سرجری کے بعد اس دن آرام کریں۔ اپنے ڈاکٹر سے پوچھیں کہ آپ کب معمول کی سرگرمیاں بحال کر سکتے ہیں
٭ ڈاکٹر سے پوچھ لیں کہ آپ کو کب تک سخت ورزشوں یا کھیلوں سے اجتناب کرنا ہو گا، اس لیے کہ بعض سرگرمیوں میں کلاٹ ساکٹ سے باہر نکل سکتا ہے
پین مینجمنٹ
٭ دانت نکلوانے کے بعد پہلے چہرے پر کولڈ پیکس لگائیں۔ اگلے دن سے وارم پیکس مددگار ہو سکتے ہیں۔ اس سلسلے میں اپنے ڈینٹسٹ کی ہدایات پر عمل کریں
٭ نسخے کے مطابق پین کلرز لیں
مشروبات
٭ سرجری کے بعد زیادہ سے زیادہ پانی پیئیں
٭ تجویز کردہ مدت تک الکحل، کیفین والے، گیس والے یا گرم مشروبات (چائے، کافی وغیرہ) سے پرہیز کریں
٭ کم از کم ایک ہفتے تک سٹرا کے ذریعے مشروبات نہ پیئیں، کیونکہ چوسنے سے پلاک ساکٹ سے نکل سکتا ہے
کھانا
پہلے دن صرف نرم غذائیں کھائیں۔ گرم اور ٹھنڈے مشروبات سے اجتناب کریں۔ کچھ لوگوں کو اپنے منہ کے اندر گال بائیٹ کرنے کی عادت ہوتی ہے۔ اس سے اس وقت تک لازماً احتیاط کریں جب تک کہ سن ہونے کا احساس ختم نہ ہو جائے۔
جب خود کو بہتر محسوس کریں تو ایسی غذائیں کھائیں جنہیں زیادہ چبانے کی ضرورت نہ ہو۔ سرجری والے حصے پر چبانے سے گریز کریں۔
منہ کی صفائی
سرجری کے بعد آپ احتیاط سے منہ دھو سکتے ہیں۔ دانت نکالنے کی جگہ پر 24 گھنٹوں تک برش نہ کریں۔ پہلے 24 گھنٹوں کے بعد ایک ہفتے تک نمک والے نیم گرم پانی سے دن میں کئی بار کلی کریں۔ اس کے لیے ایک کپ پانی میں آدھا چمچ (2.5 ملی لیٹر) نمک ملائیں۔ اس کے علاوہ ڈاکٹر کی ہدایات پر عمل کریں۔
تمباکو نوشی
اگر آپ تمباکو نوشی کرتے ہیں تو سرجری کے بعد کم از کم 48 گھنٹے تک اس سے پرہیز کریں۔ اس کے بعد بھی ہر ممکن حد تک اس سے دور رہیں۔ سرجری کے بعد تمباکو نوشی سے صحت یابی کا عمل سست ہو سکتا ہے۔ پیچیدگیوں کا امکان بھی بڑھ سکتا ہے۔
تشخیص
دانت نکلوانے کے بعد شدید درد سے معالج کو پہلا شک ڈرائی ساکٹ کا ہی ہوتا ہے۔ تاہم آپ سے ممکنہ طور پر پوچھا جا سکتا ہے کہ کوئی اور علامت تو محسوس نہیں ہوتی۔ وہ منہ کے معائنے کے ذریعے یہ جاننے کی کوشش کرے گا کہ دانت کے ساکٹ میں کلاٹ موجود ہے یا نہیں۔
درد کی دیگر وجوہات مثلاً ہڈی کے انفیکشن کو خارج از امکان قرار دینے کے لیے ایکسرے کی ضرورت پڑ سکتی ہے۔ ایکسرے سے یہ بھی معلوم ہو جاتا ہے کہ سرجری کے بعد دانت کی جڑ یا ہڈی کے چھوٹے ٹکڑے باقی ہیں یا نہیں۔
علاج
ڈرائی ساکٹ کا علاج اس کی علامات، خصوصاً درد کم کرنے پر مرکوز ہوتا ہے۔ اس میں یہ آپشن شامل ہو سکتے ہیں:
ساکٹ کو دھونا
ساکٹ کو دھو کر کھانے کے ذرات یا اس مواد کو نکالا جاتا ہے جو درد یا ممکنہ انفیکشن کا سبب بن سکتا ہو۔
دوا لگی ڈریسنگ
سرجن ساکٹ میں دوا والی جیل یا پیسٹ ڈال کر اس پر ڈریسنگ کر سکتا ہے۔ اس سے فوری طور پر درد کم ہو سکتا ہے۔ ڈریسنگ کتنی بار تبدیل کرنی ہے اور مزید علاج کی ضرورت ہے یا نہیں، اس کا انحصار درد اور علامات کی شدت پر ہوتا ہے۔
پین کلرز
آپ کو ممکنہ طور پر نسخے کے پین کلرز کی ضرورت ہو گی۔
سیلف کیئر
ڈریسنگ نکالنے کے بعد آپ کو گھر پر ساکٹ دھونے کی ضرورت پڑ سکتی ہے۔ ڈاکٹر آپ کو اس کا طریقہ کار بتائے گا۔ آپ کو پلاسٹک کی ایک ایسی سرنج مل سکتی ہے جس کا سرا مڑا ہوا ہوتا ہے۔ اس کی مدد سے آپ پانی، نمک والے پانی یا نسخے والے ماؤتھ واش کو با آسانی ساکٹ میں چھڑک سکیں گے۔
علاج شروع ہونے کے بعد آپ کو درد میں کمی محسوس ہونے لگے گی۔ دیگر علامات بھی ممکنہ طور پر چند دنوں میں ختم ہو جائیں گی۔ اس کے باوجود شیڈول کے مطابق ڈاکٹر سے مل لیں تاکہ ڈریسنگ کی تبدیلی اور دیگر کیئر کی جا سکے۔
طرز زندگی اور گھریلو علاج
جلد صحت یابی کے لیے سیلف کیئر سے متعلق ہدایات پر عمل کرنا ضروری ہے۔ آپ کو ممکنہ طور پر کہا جائے گا کہ:
٭ پین کلرز تجویز کردہ مقدار میں ہی لیں
٭ تمباکو نوشی سے پرہیز کریں
٭ اس بات کو یقینی بنائیں کہ جو پانی یا مشروبات آپ پی رہے ہیں وہ جراثیم سے پاک اور محفوظ ہیں۔ اس سے پین کلرز کی وجہ سے ہونے والی متلی روکنے میں بھی مدد مل سکتی ہے
٭ دن میں کئی بار نمک ملے نیم گرم پانی سے کلی کریں
٭ ڈرائی ساکٹ کے پاس والی جگہیں نرمی سے صاف کریں
٭ کاربونیٹڈ مشروبات سے پرہیز کریں اور سٹرا استعمال نہ کریں
ڈاکٹر سے ملاقات کی تیاری
اگر آپ کو دانت نکلوانے کے بعد شدید درد ہو یا نیا درد شروع ہو تو بلا تاخیر ڈینٹسٹ سے رابطہ کریں۔ ملاقات سے قبل ان چیزوں کی ایک فہرست بنائیں:
٭ تمام علامات، جو بظاہر غیر متعلق بھی لگتی ہوں
٭ اہم ذاتی معلومات، مثلاً طبی مسائل
٭ تمام ادویات جو آپ لے رہے ہیں، بشمول وٹامنز، ہربل میڈیسنز یا دیگر سپلیمنٹس، اور ان کی مقدار بھی
٭ ڈینٹسٹ سے پوچھنے کے لیے ضروری سوالات تاکہ آپ کے وقت کا بہترین استعمال ہو سکے
ڈاکٹر سے پوچھنے کے لیے کچھ سوالات
٭ میرے درد کی ممکنہ وجوہات کیا ہیں؟
٭ کیا مجھے کسی ٹیسٹ کی ضرورت ہے؟
٭ علامات کو بہتر بنانے کے لیے کس قسم کے علاج کی ضرورت ہو گی؟
٭ درد کم کرنے کے لیے میں کیا کروں؟
٭ کیا آپ کی تجویز کردہ دوا کا کوئی جنیرک متبادل بھی ہے؟
٭ مجھے کب تک آرام آ جائے گا؟
٭ کھانے پینے سے متعلق احتیاطیں کب تک جاری رکھنا ہوں گی؟
٭ کیا ایسی کوئی اور پابندیاں بھی ہیں جن پر مجھے عمل کرنا چاہیے؟
٭ کیا آپ کے پاس کوئی بروشر یا دیگر پرنٹ شدہ مواد ہے جو میں ساتھ لے جا سکوں؟
٭ کیا آپ کوئی ویب سائٹ تجویز کرتے ہیں؟
کوئی اور سوال ذہن میں ہو تو بلا جھجک پوچھیں۔
ڈاکٹر کے ممکنہ سولات
آپ کا ڈینٹسٹ آپ سے یہ سوالات پوچھ سکتا ہے:
٭ آپ کو دانت میں شدید درد کب شروع ہوا؟
٭ کیا درد ہر وقت رہتا ہے یا اس وقت جب آپ کچھ پیتے ہیں یا ساکٹ کو چھوتے ہیں؟
٭ آپ اس درد کو 1 سے 10 کے پیمانے پر کون سا درجہ دیں گے؟ (10 سب سے شدید درد ہے)
٭ آپ کو درد کس جگہ ہوتا ہے؟
٭ کیا آپ نے کوئی پین کلر لیا ۔ اگر ہاں تو کتنی مقدار میں اور کتنی بار؟
٭ کیا پین کلر سے فائدہ ہوا؟
٭ کیا آپ کو کوئی اور علامات بھی ہیں جو دانت کے درد سے متعلق نہ ہوں؟
٭ کیا آپ کو بخار ہوتا ہے؟
ان سوالات کے لیے تیار رہیں تاکہ ڈاکٹر کے ساتھ آپ کی ملاقات زیادہ فائدہ مند ثابت ہو۔
نوٹ: یہ مضمون قارئین کی معلومات کے لیے شائع کیا گیا ہے۔ صحت سے متعلق امور میں اپنے معالج کے مشورے پر عمل کریں۔

